Beiträge von Fire_Moon

    Hallo lieber Rene,

    erst einmal sorry der sehr späten Reaktion von mir, ich war längere Zeit ohne Internet.

    Ich dachte mir fast das es zu wirr ist mit solchen Aufnahmen und das eher das Gebiet der Radiologen trifft. Genau das aber war letztlich der Anlass einmal zu versuchen ob sich sonst noch wer vielleicht auskennt damit, das ich von genau denen leider keine Antwort dazu erhalte, nach mehrfachen Fragen.

    Man muss dazu sagen das diese Bilder von einer mir sehr nahen Verwanden stammen,meiner Mutter. Normal könnte ich sagen es interessiert nicht mehr wirklich da sie den Kampf letzten Endes leider verloren hat. Der Grund das ich mich damit dennoch nochmals auseinander setze ist die im gesamten Ablauf sehr wirre, ominöse urplötzliche Entsstehung der Krankheit bei ihr (quasi über Nacht ohne Vorwarnung und Zeichen), die dazu im Verlauf von 3 Jahren äußerst wirren Aussagen und Diagnosen der Schulmediziner, die Behandlungen die gemacht wurden waren ebenso verwirrend, die Aussagen dazu erst recht udn letzten Endes ihr Tod so, ich weiß gar nicht wie ich es benennen soll......ich sage mal extrem plötzlich und der Verlauf davon so widersprüchlich das es mir rege Kopfzerbrechen machte ob zum einem überhaupt die Diagnose stimmte, ob richtig behandelt wurde da äußerst widersprüchliche Befunde im Nachhinein auftauchten wie eben auch diese CT Bilder und insbesondere der verlauf des Sterbeprozesses........was ja nun schwer ist denn man kann niemanden fragen der gegangen ist wie er nun tatsächlich abläuft.

    Doch ehe ich dieses Thema einbringen würde, müsste man wissen ob jemand etwas zum Thema seltene PLL Leukämie sagen kann bzw. weiß-deren tatsächliche Symtome und evt. Entstsehung,sowie Verlauf.

    Was mich in der Sache massiv aufgerüttelt hatte war die Aussage meiner Mutter wenige Tage vor ihrem eher jungem "Gehen" das sie das Gefühl habe man benutze sie als Versuchskanninchen, das m,assive bemühen der dortigen Klinik sie regelrecht abzuschieben und ein Gespräch mit einem Intensivmediziner der mir versicherte das man mir in ihrem Sterbeprozess irgendwie Mist erzählt hätte, da er das in seiner Laufbahn auf intensiv nicht bestätigen kann.

    Den einen Punkt kann ich ja einmal anführen. es war so das sie am Vorabend wie all die Tage davor ganz normal anwesend und munter war, ich nicht einmal informiert wurde am nächsten Tag das etwas ist sondern rein durch Zufall bei einem Anruf meinerseits erwähnt wurde man solle besser kommen da sie im Sterbeprozess sei der dann damit begründet wurde das sie einfach ab meiner Verabschiedung und dem schlafen gehen durchweg schlafe ohne wach zu werden ( 8| ?( ?( ), es könne nun Tage dauern oder auch nur Stunden,keiner wisse das.

    Am Bett störte ich mich an zunehmenden, immer lauter werdenden Geräuchen, ein Geräuch als wenn man einen laut grollenden Wasserstrudel wahr nimmt, der durch ihren Körper tönte, immer lauter werdend. Da ich das nicht einordnen konnte fragte ich den Arzt und bekam folgende Antwort: "Der mensch bestünde ja zum Großteil aus Wasser. Im Sterbeprozess wäre das bei JEDEM so das man es laut wahrnimmt. Man müsse es sich so vorstellen das dieses Wasser immer mehr würde und aufsteigen würde bis in die Lungen die dann quasi davon außer Betrieb gesetzt würden und letzten Endes der Tod eintritt.Es wäre bei allen Menschen so die gehen und ich müsste mich nicht beunruhigen."

    Da leider ein weiterer Verwander wenige Wochen darauf ging stellte ich dort fest nein, es kann nicht bei jedem sein, denn ich hörte da nichts und dazu kam die Aussage des dortigen Intensivmediziners man habe mir Mist erzählt, er habe es in all seinen Berufsjahren nie so wahr genommen und er könne sich diese Aussage nicht erklären.

    Dazu fielen mir dann eben diese Aufnahmen im Nachhinein in die Hände bei denen ich stutzig wurde, da sie ja offenbar ein Organ darstellen....eine PLL aber doch eher im Blut abläuft und nicht direkt an Organen, ein Befund vom Zeitraum der Diagnosestellung eines dritt Arztes den sie hinzu zog der sie beruhigte nach Blutkontrollen es sei keine PLL sondern eine vorrübergehende Leukozytose durch eine Nierenentzündung und das seltsame Verhalten und der Ablauf dort zum Ende, wo mir noch einen Tag zuvor versichert wurde auf direktes fragen ob man dies befürchten müsse "Nein keinesfalls in den nächsten 12 Monaten, definitiv nicht".

    Nun ja das führte zu bohrenden Fragen in mir was nun wirklich da Sache war und leider erhalte ich null Antworten von den damals behandelnden Medizinern. Es hies da nur nun wie sie sehen hat die Therapie sehr gut angeschlagen nur das Ergebnis ist eben leider dieses ...... ähmmm ja ?(

    Sollte sich jemand ein wenig mit dem Verlauf einer solchen PLL auskennen und insbesondere der Entstehung und dergleichen im Verlauf wäre ich für ein "Gespräch" hier sehr dankbar.

    Liebe Grüße

    Hallo,

    ist jemand unter Euch der sich auskennt mit CT Aufnahmen ?
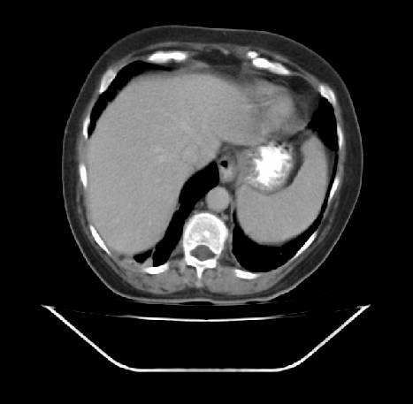
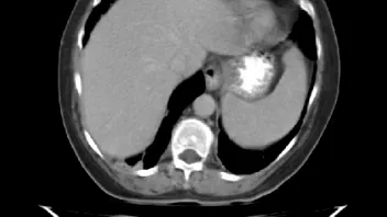
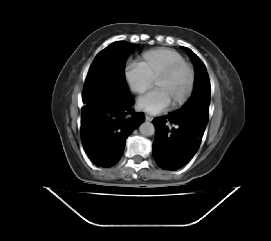
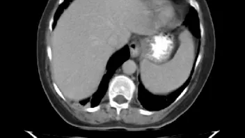
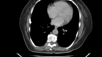
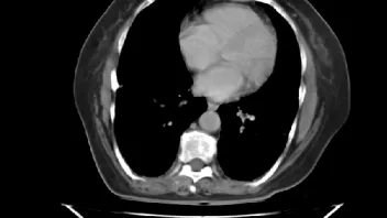
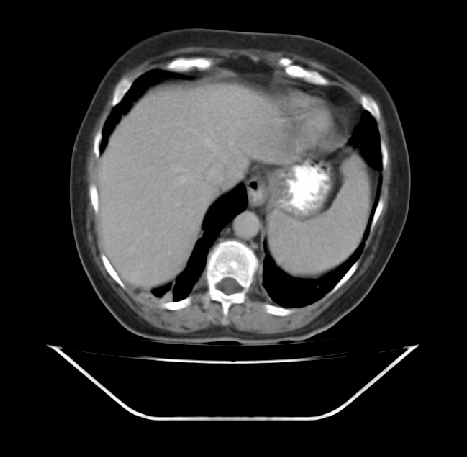
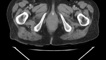
    Ich habe 3 Stück angehangen, sie stammen aus einem CT der Abdomen.
    Möglich das es eine Serie eines Querschnitts darstellt Bild 1 zeigt den Start,Bild 2 eines aus den mittleren Aufnahmnen und Bild 3 das letzte dieser CT Serie.
    Da ganz gezielt auf ein und die gleiche Stelle gehalten wurde mit sagenhaften über 80 Einzelaufnahmen interessiert mich brennend um die Darstellung welches Organges es sich bei diesen Aufnahmen handelt und ob darauf etwas bedenkliches eingekreist wurde.

    Herzlichen dank für die Hilfe,falls jemand es einordnen kann. Mir ist die Antwort darauf so wichtig weil es sich um Aufnahmen meiner Mutter handelt die nicht mehr unter uns ist.

    Über den Newsletter von Rene Gräber den ich schon sehr lange verfolge bin ich jetzt auch in diesem Forum gelandet um den Austausch in einigen Bereichen etwas zu vertiefen und auch das ein und andere Mal direkte Fragen stellen zu können.

    Mit Naturmedizin befasse ich mich schon etwas länger, zuerst durch meine Mutter die fast alles rein natürlich zu behandeln versuchte und später für die eigenen Krankheiten, insbesondere aber auch weil mir in vielen Bereichen mit mancher Erfahrung die angepriesene Chemiekeule zum Hals raus hing, das sie meinem Körper mehr zu setzte als wenn ich die Beschwerden einfach gelassen hätte.

    Ich komme aus NRW Nähe Münster.

    Allen mal ein freundliches Hallo.

    Liebe Grüße Manu