
Lungenentzündung – Anzeichen, Dauer und Therapie
In Industrienationen gilt die Lungenentzündung (Pneumonie) als häufigste tödliche Infektionskrankheit. Alleine bei der Diagnose „Lungenentzündung“ erschrecken viele.
Viele Schulmediziner sind der Ansicht, dass bei einer Lungenentzündung die normale Abwehr- und Immunreaktion durch spezielle Krankheitserreger umgangen werden. Als Folge entzünde sich das Lungengewebe. Dies kann dann zu lebensbedrohlichen Einschränkungen der Lungenfunktion führen.
In der Bundesrepublik erkranken jährlich rund 750.000 Menschen an einer Pneumonie, dabei liegt die Sterblichkeitsrate unter 2 Prozent, wenn die Patienten ansonsten gesund und noch nicht sehr alt sind. Diese Fälle können in der Regel ambulant behandelt werden.
Bei schweren Krankheitsverläufen ist eine stationäre Betreuung erforderlich und die Sterblichkeitsrate ist deutlich höher. Genau beziffert werden kann das nicht, jedoch schätzen Fachärzte, dass zwischen 2 und 10 Prozent dieser Patienten versterben. Wenn im Zuge anderer Krankheiten (z. B. Grippe) eine Lungenentzündung entsteht, steigt die Todesrate auf ca. 30 Prozent.
Im Krankenhaus erworbene Fälle enden in fast 50 Prozent tödlich, weil die Erreger oft resistent gegen Antibiotika sind. Hierzu kann ich nur sagen, dass es um die Hygiene in Krankenhäusern nicht zum besten bestellt ist. Wenn Sie sich gruseln wollen, lesen Sie meinen Beitrag: Hygiene pur – und doch von Mikroben umringt.
Weltweit sterben jährlich fast vier Millionen Menschen an einer Pneumonie, wobei die Rate mit zunehmendem Lebensalter ansteigt. Die Angaben über die Todesopfer in Deutschland variieren je nach Quelle. So sind es laut statista.com rund 20.000 jährlich, während die Berliner Morgenpost 2018 die Zahl von 30.000 meldete, ohne eine weitere Quelle anzugeben. Die „LUNGENÄRZTE im Netz“ gehen von 40.000 bis 50.000 an Lungenentzündung verstorbenen Menschen aus.
Besonders gefährdet sind v.a. ältere, abwehrgeschwächte Menschen und Kleinkinder. Daneben findet sich eine Lungenentzündung u.a. auch bei chronisch Erkrankten (u.a. Herzkrankheiten, Diabetes mellitus), bei einer Immunschwäche, während einer Zytostatikatherapie (Chemotherapie) und bei Alkoholmissbrauch.
Hauptsächlich werden Pneumonien durch Bakterien (ca. 90 Prozent) verursacht, seltener finden sich auch Viren. Hauptübertragungsweg ist nach bisheriger, gängiger Annahme das Einatmen der Erreger. In diesem Modell dringen Mikroben in die sonst keimfreie Lunge ein. Diese schlichte Vorstellung wird von Forschern mittlerweile relativiert. Denn neuerdings ist bekannt, dass die Lunge mit Symbionten besiedelt ist wie auch der Darm und die Haut. In diesem „Mikrobiom“, ohne das wir gar nicht leben könnten, muss eine Balance zwischen „guten“ und „bösen“ Bakterien und Pilzen herrschen.
Kippt das Gleichgewicht zugunsten gefährlicher Keime in eine Schieflage, dann beginnt das Immunsystem sofort mit der Eindämmung der sich vermehrenden Störenfriede. Von außen versuchen Ärzte, die Erreger mit Antibiotika zu bekämpfen. Nach dem jetzt gewonnenem Wissen schädigen die Medikamente jedoch auch das pneumonale Mikrobiom. Dadurch wird das Organ zusätzlich geschwächt, weswegen die Antibiotika-Therapie immer auch eine Gratwanderung bedeutet.
Lungenentzündungen lassen sich nach mehreren Kriterien unterteilen
Bei der Einteilung nach Vorerkrankungen unterscheidet man die primäre Pneumonie (bei der keine Vorerkrankung diagnostiziert wird) von der sekundären Pneumonie (u.a. bei Bronchitis, Links – Herzinsuffizienz, Immunschwäche und Bettlägerigkeit) sowie der opportunistischen Pneumonie, die sich bei stark immungeschwächten Menschen (z.B. AIDS) zeigt und v.a. durch Pilze (z.B. Candida albicans) und Viren (u.a. Herpeserkrankungen) ausgelöst wird.
Primäre Pneumonien weisen in bis zu 60 Prozent der Erkrankungsfälle Pneumokokken als Auslöser auf. Daneben finden sich auch Viren (z.B. Influenza-Virus) und atypische Erreger (z.B. Chlamydien). Erreger der sekundären Form sind v.a. Pneumo- und Staphylokokken sowie das Haemophilus influenza-Virus.
Eine weitere Einteilung berücksichtigt den Infektionsort. Hier kann die Pneumonie ambulant (zu Hause, ca. 10 von 1.000 Fällen) oder nosokomial (im Krankenhaus) erworben sein. Der klinische Befund berücksichtigt u.a. die Röntgendiagnostik. Zum einen sind hier die Entzündungsherde in einem Lappenbereich (lobulär), in mehreren Lappenbereichen (lobär), nur in den Alveolen (alveolär), interstitiell (im Gewebe um die Alveolen), mit Beteiligung des Pleuraspaltes (Pleuropneumonie) oder diffus verteilt (Bronchopneumonie) aufzufinden. Zum anderen unterscheidet man noch zwischen der typischen (klassischen) und der atypischen Pneumonie.
Die klassische Pneumonie wird durch Bakterien verursacht und weist ein typisches klinisches Bild auf. Zu Beginn zu kommt es zu Schüttelfrosterscheinungen, gefolgt von hohem Fieber und starkem Husten mit zähem, rötlich-braunem Auswurf (Sputum), der später auch Eiterauflagen aufweisen kann (gelb-grünes Sputum). Die Erkrankung führt zu allgemeiner Schwäche, die Atmung ist erschwert und schmerzhaft. Die dadurch verursachte Schonatmung kann zu einer Minderversorgung des Organismus mit Sauerstoff führen, was sich v.a. an bläulich verfärbten (Zyanose) Lippen und Fingernägeln feststellen lässt. Insgesamt verursacht die Pneumonie ein Gefühl der starken Erkrankung beim Betroffenen. Bei der Auskultation ist ein rasselndes Geräusch zu vernehmen (Crepitatio indux).
Die durch Viren oder Parasiten verursachte Pneumonie zeichnet sich durch ihren langsameren Verlauf aus, sie wird auch als atypische Lungenentzündung bezeichnet. Während der ersten Tage zeigen sich grippeähnliche Symptome (u.a. Kopfschmerzen und Gliederschmerzen) , dazu kommen ein starker Husten mit vermindertem, meist klarem Auswurf, leicht erhöhte Temperatur und kaum Schmerzen bei der Atmung, die wesentlich leichter fällt als bei der bakteriellen Form. Selten werden Auskultationsgeräusche gefunden, die Veränderung der Lunge (Schwellung) ist im Röntgenbild aber gut zu erkennen.
Leider sehe ich immer mehr atypische Lungenentzündungen, die ohne hohes Fieber ablaufen. Früher kannte ich eigentlich nur typische Lungenentzündungen. Heute ist das schon fast die Ausnahme. 30 – 40 Jahre Angst vor Fieber und dessen ständige Unterdrückung, sowie die immungeschwächten Patienten (durch Ernährung, Stress, Bewegungsmangel und Umweltgifte), haben da ganze Arbeit geleistet! Nun denn…
Der normale Verlauf einer klassischen Pneumonie zeigt eine Symptomzunahme innerhalb der ersten acht Tage, danach sind die Anzeichen rückläufig und die Rekonvaleszenz setzt ein, die bis zu zwölf Wochen dauern kann.
Übrigens: Wenn Sie solche Informationen interessieren, dann fordern Sie unbedingt meinen kostenlosen Praxis-Newsletter „Unabhängig. Natürlich. Klare Kante.“ dazu an:
Diagnose einer Lungenentzündung
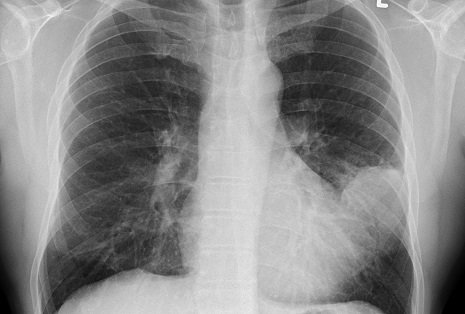
Zur Diagnose werden zuerst Anamnese, Inspektion und Auskultation (Abhorchen von Lunge und Herz) durchgeführt. Blutbild und Speichel werden auf Erreger hin untersucht. Das Röntgenbild zeigt einen „angeschwollenen“ Lungenbereich – hier in der Röntgenaufnahme links:

Abb1.: Röntgenaufnahme einer Lunge – Diagnose Lungenentzündung; zum Vergrößern auf das Bild klicken.

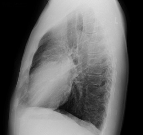
Abb.2: Röntgenaufnahme Lungenentzündung – Aufnahme von der Seite. Zum Vergößern auf das Bild klicken.
Mittels Bronchoskopie werden Erkrankungen wie z.B. die Atelektase (kollabierter Lungenabschnitt) differentialdiagnostisch abgeklärt. Auch Tuberkulose, Lungenembolie und das Bronchialkarzinom sollten vor Beginn einer Therapie ausgeschlossen werden.
Therapie einer Lungenentzündung
Die Behandlung der Pneumonie setzt sich aus unspezifischen und spezifischen Maßnahmen zusammen. Das kommt ganz auf die Schwere der Symtome an, sowie auf den „Zustand“ des Patienten.
Auf jeden Fall gehören dazu: Bettruhe! Schminken Sie sich ab, dass Sie nächste Woche schon wieder arbeiten gehen können. Ich rate Patienten meistens mindestens zwei Wochen zur Ruhe.
Zur Therapie mittels Naturheilkunde oder Alternativmedizin verweise ich an dieser Stelle auf meine Beiträge zur: Grippe, Erkältung, Husten und Entzündungen im Allgemeinen.
In schweren Fällen können Antibiotika (per Infusion!) notwendig sein. Dann sollte aber eine Kultur angelegt werden, um zu prüfen, ob das Antibiotikum überhaupt wirkt. Das Antibiotikum wird nach der vorliegenden Form (ob z.B. ambulant oder nosokomial erworben) gewählt. Bei Pilz- oder Parasitenbefall dienen analoge Mittel. Über die irrsinnige Praxis der Antibiotika-Verschreibung gegen alles und jeden (selbst gegen abstehende Ohren und ungewaschene Vorhänge) habe ich bereits mehrfach ausführlich berichtet! Lesen Sie dazu auch meinen Artikel über Antibiotika.
In einigen Fällen kann eine stationäre Aufnahme (Krankenhaus) Sinn ergeben und auch Sauerstoff-Therapien notwendig werden. Das sind aber wirklich schwere Fälle, in denen es wirklich nicht gut aussieht. Ein Erguss in der Lunge bildet sich (bei richtiger Behandlung) meist eigenständig zurück. Bei sehr schwerer Einschränkung der Atmung kann dieser Erguss auch punktiert bzw. drainiert werden.
Die meisten Patienten werden aber ambulant (in der Praxis) behandelt. Ich bin ja der altmodischen Meinung, dass hier Hausbesuche gemacht werden sollten, denn die wirklich kranken und angeschlagenen Patienten schleppen sich da in die Praxen, um dort mit anderen Kranken herumzusitzen, Auto zu fahren, durch die Kälte zu laufen usw. Ein Patient mit Lungenentzündung gehört ins Bett!
Neue Therapie-Ansätze sind „in Arbeit“
In Anbetracht der Tatsache, dass die Behandlung mit Antibiotika leider auch schadet, entwickeln Wissenschaftler alternative Konzepte. Dabei haben die Ärzte von der Charité in Berlin, dem Helmholtz Zentrum München und der Uniklinik in Gießen die körpereigene Abwehr im Blick. Wichitg ist hier nicht nur das Immunsystem der Lunge, sondern auch dessen Kooperation mit dem Mikrobiom. Die Forscher interessiert auch, warum das Immunsystem bei Lungenentzündung manchmal zu schwach reagiert und Erreger gewähren lässt, oder aber zu heftig antwortet und dadurch Schaden anrichtet. In ersten Versuchen wurde auch versucht, Makrophagen (Fresszellen) gezielt einzusetzen, um Lungengewebe zu regenerieren.
Vielleicht noch etwas zur Prognose
Bedingt v.a. durch den unterschiedlichen Verlauf bei einer Lungenentzündung, die verschiedenen Erreger, sowie auch die Konstitution des Betroffenen, kann es bei der Pneumonie zu einer Vielzahl von Komplikationen kommen. Vor allem die nosokomialen Formen enden durch ihre vermehrte Komplikationsrate durchaus auch tödlich.
Todesursache kann nach den neuen Forschungen an der Charité eine Überreaktion des Immunsystems sein. Die entzündlichen Prozesse des eigenen Körpers sind es dann, die das Lungengwebe am stärksten schädigen. Die darauf folgende respiratorische Insuffizienz führt zu einer starken Sauerstoffunterversorgung des gesamten Organismus bei gleichzeitiger Anreicherung des unzureichend abgeatmeten Kohlendioxids. Man muss den Patienten also schon im Blick behalten!
Mögliche Komplikationen:
- Eingedrungene Bakterien können zu einer Sepsis (Blutvergiftung) führen und Organe wie Herz und Nieren schädigen.
- Längere Bettruhe birgt die Gefahr einer Thrombose. Das muss vor allem bei Patienten beachtet werden, die auch sonst nicht gut aufgestellt sind!
- Ein Erguss im Pleuraspalt (Bereich zwischen beiden Lungenseiten) ist häufig zu beobachten (ca. 60 Prozent), er kann in ein Pleuraempyem übergehen, bei dem sich Eiter im Pleuraspalt bildet, der zu Verklebungen und Abszessen führen kann. Das sollte durch eine richtige Therapie vermieden werden!
- Mehrfach durchlebte Lungenentzündungen können das Organ vernarben lassen (Lungenfibrose, stark verminderte Funktionalität). Ebenso besteht die Gefahr einer Infektionsausweitung in Richtung Gehirn (Hirnhautentzündung), Ohr (Otitis media) siehe
- Die Störung des pneumonalen Mikrobioms durch Antibiotika kann Folge-Infektionen begünstigen.
Übrigens: Wenn Sie solche Informationen interessieren, dann fordern Sie unbedingt meinen kostenlosen Praxis-Newsletter „Unabhängig. Natürlich. Klare Kante.“ dazu an:
Dieser Beitrag wurde letztmalig am 09.02.2021 aktualisiert.




