Gedächtnis, Konzentration

  • Hallo allerseits,

    Habe derzeit das Problem, dass ich mir kaum etwas merken kann...

    Dazu kommen Konzentrationsschwierigkeiten.

    Ich würde gerne etwas dagegen tun, weiß jedoch nicht, wer mich dabei beraten kann.

    Wisst ihr Adressen, Links, habt ihr Tips?

    Danke

    Viele Grüße

    Der Lurch

    Einmal editiert, zuletzt von Daseinslurch (5. März 2022 um 16:09)

  • Newsletter für Vitalstoffe von René Gräber

  • Na ja, solange Du mit dieser Aussage

    nicht konform gehst ....:)

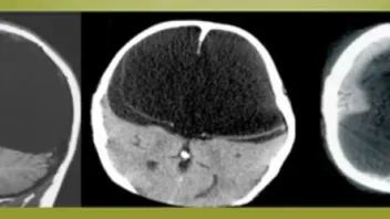
    Aber mal im Ernst - selbst wenn Dein Gehirn so aussehen würde, wie eines dieser drei hier, gäbe es noch keinen Grund zur Beunruhigung:

    Die schwarzen Flächen bei diesen Röntgenaufnahmen bedeuten nämlich - an dieser Stelle gibt´s kein Gehirn. Da ist nix, tote Hose, das Gehirnareal rechts ist dabei sogar fast leer. Aber die Besitzer dieser Gehirne leben, haben eine Familie, einen normalen Job und sprechen teilweise mehrere Sprachen.

    Das nur mal so am Rande.

    In Deinem Fall könnte Dopamin helfen.

    Dopamin scheint in Bezug auf die Lernvorgänge im Gehirn den Nervenzellen zu helfen, das Gelernte besser zu verarbeiten. Die Zellen können sich besser miteinander vernetzen und möglicherweise ist es sogar auch ein Wachstumsfaktor. Manche Autoren sagen: Dopamin ist eine Art Flüssigdünger für das "Gewächshaus Gehirn".

    Dieselben Leute, die glauben, dass die Erde überbevölkert ist, sagen, sie könnten unser aller Leben retten mit einem Impfstoff!

    Und dieselben Leute, die glauben, sie könnten das Klima retten, indem sie die Sonne verdunkeln, wollen, dass wir Solarenergie nutzen!

    Einmal editiert, zuletzt von von Perlbach (28. Oktober 2021 um 18:57)

    • Offizieller Beitrag

    Hallo Daseinslurch,

    mit Adressen kann ich dir behilflich sein. Ich habe eine Liste mit Therapeuten für Zellsymbiosetherapieˍ erstellt. Das ist eine Therapie, die auch solche Probleme ganzheitlich angeht.

    Als grundsätzliche Vorsorge würde ich dir folgendes empfehlen:

    - Vitamin-D-Blutspiegel von ca. 80 ng/ml (100 IE je kg Körpergewicht)

    - Omega-3-Index von 8 - 12 % (6 Gramm Fischöl oder vergleichbares)

    Außerdem kann ich dir Renés Beitrag zu Vergesslichkeit und Gedächtnisschwund empfehlen:

    Vergesslichkeit und Gedächtnisstörung? (R41.8) Hilfe aus der Naturheilkunde (naturheilt.com)ˍ

    Liebe Grüße
    Bernd

  • Wisst ihr Adressen, Links, habt ihr Tips?

    also ich habe mir diese App auf mein Tablet geladen " Gedächtnistrainig" um nicht zu verblöden in dieser CoronaZeit

    diese hier

    : https://play.google.com/store/apps/det…mobile.app.main

    Da sind tolle Sachen drauf und fordert mich täglich heraus.

    Ist wie Gehirn-jogging und macht mir riesen Spaß und mache ich jeden Abend anstatt vor dem TV zu verblöden.

    Und hier noch einige Gründe warum sich das Hirn nach Nüssen sehnt.

    kern-energie.com/allgemein/nuesse-gut-fuer-gehirn

    LG

    Jenseits von richtig und falsch liegt ein Ort.
    Dort treffen wir uns.
    "(Rumi)"

    3 Mal editiert, zuletzt von bermibs (7. Mai 2023 um 09:22)

  • Hallo Daseinslurch,

    Ich würde dir raten mal vorab dein Blut mittels Dunkelfeldmikroskop untersuchen zulassen. Das macht in der Regel ein Heilpraktiker oder ganzheitlicher Mediziner.

    Ein normales Blutbild vom Hausarzt ist oft nicht ausreichend. Hast du noch sonstige Beschwerden?

    viele Grüße

    Eugen

    Täglich Kokoswasser trinken hilft die Blutfettwerte senken, reinigt auch noch Blut und Nieren, und hilft dir beim Gelenke schmieren. ( Eigenzitat )

  • Naturheilkunde Newsletter von Rene Gräber

  • Wie weit bist du mit deinem Gedächtnis gekommen?

    Könnte da nicht auch chlordioxid helfen?!

    Ich nehme es ab heute intensiv : 5ml auf 1 Liter Wasser , verteilt auf 1 Tag...

    nach 3 Tagen 10 ml auf 1 Liter Wasser...

  • Wisst ihr Adressen, Links, habt ihr Tips?

    was mir in diesem Fall geholfen hat war die Gabe von B12 als Spritze. Als Spritze ist wohl besser, weil man nicht weiß ob die Probleme in der Verdauung liegen und orale Einnahme dadurch wirkunglslos bzw.- arm bleibt. Das heißt nicht, dass du ein leben lang B12 spritzen sollst. Aber vielleicht mal testen ob der Spiegel tief ist. Langfristig sollte man versuchen den B12-Spiegel auf natürlichem Wege anzuheben.