5G-Strahlung Gefahr für die Gefühle

  • Newsletter für Vitalstoffe von René Gräber

  • was hat so ne Antenne für ne Reichweite? Weiss mensch das?

    Es hiess ja mal, in der Stadt braucht man alle Naslang eine, weil die so kurz reichen...??

    Für die Reichweite im Mobilfunk ist die Frequenz entscheidend. Für 5G dominiert aktuell das Band n78 bei 3,6 GHz und n1 bei 2,1 GHz. Darüber hinaus über Dynamic Spectrum Sharing auf 700 und 1800 MHz. Die 5G-Frequenzen, welche im Juli 2019 versteigert wurden, liegen auf Bändern im Bereich von 2,1 sowie 3,6 GHz. Bei letzterem kann man maximal von ca. 1.000 Metern Reichweite ausgehen.

    Bei einem Praxistest in Leipzig lockte sich allerdings der Router bei 400 Metern Entfernung aus dem 5G-Netz aus und beim 4G-Netz dann ein.

    Tatsächlich ist es also fast unmöglich eine genaue Angabe zur Reichweite bei einer bestimmten Mobilfunkfrequenz zu machen. Schuld daran sind extrem viel beeinflussende Faktoren, wie beispielsweise Antennenhöhe von Nutzer und Funkmast oder aber auch die Distanz zum Sender.

    Dieselben Leute, die glauben, dass die Erde überbevölkert ist, sagen, sie könnten unser aller Leben retten mit einem Impfstoff!

    Und dieselben Leute, die glauben, sie könnten das Klima retten, indem sie die Sonne verdunkeln, wollen, dass wir Solarenergie nutzen!

  • Naturheilkunde Newsletter von Rene Gräber

  • Nicht alle installierten 5G Antennen sind bereits in Betrieb.

    Aber dafür habe ich gesehen, das einige schon abgebrannt sind.

    Wenn gegen die ethischen Regeln des Nürnberger Kodex verstossen wird, indem man vorhandene wirksame Heilmittel, Medikamente und Vorsorgemaßnahmen unterdrückt, um ungeprüfte experimentelle gentechnische Substanzen verimpfen zu können, sind wir bei Alarmstufe Rot.

    Einmal editiert, zuletzt von bermibs (3. Juli 2022 um 17:35)

  • Aber dafür habe ich gesehen, das einige schon abgebrannt sind.

    Ich auch. In Indien. Da hatten die Inder die Schnauze voll von diesen Dingern und haben gleich den kompletten Mast abgefackelt.^^

    Dieselben Leute, die glauben, dass die Erde überbevölkert ist, sagen, sie könnten unser aller Leben retten mit einem Impfstoff!

    Und dieselben Leute, die glauben, sie könnten das Klima retten, indem sie die Sonne verdunkeln, wollen, dass wir Solarenergie nutzen!

  • Diejenigen, die ich gesehen habe, scheinen sich selbst entzündet zu haben. Das finde ich noch viel besser.^^

    Wenn gegen die ethischen Regeln des Nürnberger Kodex verstossen wird, indem man vorhandene wirksame Heilmittel, Medikamente und Vorsorgemaßnahmen unterdrückt, um ungeprüfte experimentelle gentechnische Substanzen verimpfen zu können, sind wir bei Alarmstufe Rot.

  • ... dann sollte man sie am besten auf ein Elektrofahrzeug montieren, das Selbstentzünden wäre dann "zwei Fliegen mit einer Klappe".

    Dieselben Leute, die glauben, dass die Erde überbevölkert ist, sagen, sie könnten unser aller Leben retten mit einem Impfstoff!

    Und dieselben Leute, die glauben, sie könnten das Klima retten, indem sie die Sonne verdunkeln, wollen, dass wir Solarenergie nutzen!

  • Naturheilkunde Newsletter von Rene Gräber

  • Für die Reichweite im Mobilfunk ist die Frequenz entscheidend. Für 5G dominiert aktuell das Band n78 bei 3,6 GHz und n1 bei 2,1 GHz. Darüber hinaus über Dynamic Spectrum Sharing auf 700 und 1800 MHz. Die 5G-Frequenzen, welche im Juli 2019 versteigert wurden, liegen auf Bändern im Bereich von 2,1 sowie 3,6 GHz. Bei letzterem kann man maximal von ca. 1.000 Metern Reichweite ausgehen.

    Bei einem Praxistest in Leipzig lockte sich allerdings der Router bei 400 Metern Entfernung aus dem 5G-Netz aus und beim 4G-Netz dann ein.

    welche Mittel / Technik gibt es, um sich vor 5 G zu schützen- außer Schungit ?

    Danke für Hilfe

    LG maju

  • Bitte die Frage konkretisieren. Was meinst Du mit Mittel / Technik?

    Wofür brauchst Du sie? Möchtest Du Deine Wohnung, nur Dein Schlafzimmer oder Dein komplettes Haus schützen?

    Dieselben Leute, die glauben, dass die Erde überbevölkert ist, sagen, sie könnten unser aller Leben retten mit einem Impfstoff!

    Und dieselben Leute, die glauben, sie könnten das Klima retten, indem sie die Sonne verdunkeln, wollen, dass wir Solarenergie nutzen!

  • Um das Thema nochmal in Erinnerung zu rufen:

    Am 23. März 2021 waren es 8700 5G- Standorte in Deutschland, im November 2021 13.Tausend, jetzt im Dezember 2022 36Tausend.

    Damit sind wir in Europa Platz 1, Platz 2 ist Frankreich mit 20Tausend, und Platz3 Großbritannien mit 11Tausend.

    "Egoismus ist nicht, wenn ich so lebe wie ich es wünsche, sondern wenn ich von Anderen verlange so zu leben wie ich es wünsche" Oscar Wilde

  • Naturheilkunde Newsletter von Rene Gräber

    • Offizieller Beitrag

    Bahnbrechende Studien zu Elektrosmog / 5G

    Studienergebnisse der beiden Wissenschaftler Dr. med. Kurt Möller und Diana Wenz zeigen auf, dass man wohl dringend Bedarf hat, diese Ergebnisse wissenschaftlich zu diskutieren. Die Studien sind veröffentlicht und alarmierend. Welche krankheitsauslösenden Mechanismen hat die 5G Studie in Bezug auf die Immunfunktion gezeigt. Welche Rolle spielt dabei der oxidative Stress. Kann man aufgrund der erkannten Mechanismen Prognosen für weitere Risiken abgeben? Und wieso können die Ergebnisse beim Gebrauch von Wlan, Handy am Ohr, Bluethooth und Klimaanlage gleichzeitig durch eine bahnbrechende Art und Weise auf den Kopf gestellt werden und einen Nutzer schützen? Wenn doch niemand schon auf moderne Technologien verzichten will, wieso wird dann nicht von Herstellerseite gleichzeitig entsprechende Schutzvorkehrungen getroffen, damit kein Konsument mehr zu Schaden kommt?

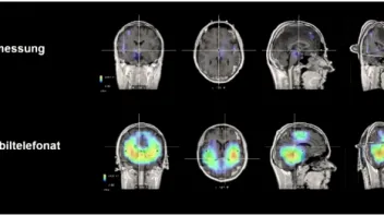
    Das gut einstündige Interview mit den beiden Forschern zeigt so manche neue Erkenntnis, die erschreckend ist. Verdeutlicht werden die Aussagen anhand von neuartigen 3D-EEG-Aufnahmen, auf denen erstmals auch für Laien ersichtlich wird, wie tief (räumlich gesehen) die Strahlungen ins Gehirn eindringen und dadurch auch Schäden auf Mitochondrienebene stattfinden können und auch der Hypothalamus betroffen ist.

    Das Interview gibt´s hierˍ

    Eine ausführliche Darstellung zum Thema Prävention und auch Intervention findet man auf den Seiten der im Interview erwähnten Stiftung salusmed.worldˍ

    Hier direkt zur Entstörungstechnologieˍ der salusmed (Gabriel Tech GmbH)

    (Das Video habe ich mir bereits angesehen, zu salusmed.world kann ich im Moment noch nichts sagen, deren Homepage ist mehr als umfangreich)

    Dieselben Leute, die glauben, dass die Erde überbevölkert ist, sagen, sie könnten unser aller Leben retten mit einem Impfstoff!

    Und dieselben Leute, die glauben, sie könnten das Klima retten, indem sie die Sonne verdunkeln, wollen, dass wir Solarenergie nutzen!

    5 Mal editiert, zuletzt von bermibs (27. März 2024 um 17:07)

    • Offizieller Beitrag

    Dieselben Leute, die glauben, dass die Erde überbevölkert ist, sagen, sie könnten unser aller Leben retten mit einem Impfstoff!

    Und dieselben Leute, die glauben, sie könnten das Klima retten, indem sie die Sonne verdunkeln, wollen, dass wir Solarenergie nutzen!

    2 Mal editiert, zuletzt von bermibs (2. April 2023 um 20:17)

  • : https://uncutnews.ch/bahnbrechend-z…n-krank-machen/

    Bahnbrechend: Zwei Fallberichte zeigen, wie 5G-Türme die Menschen krank machen

    Ein neuer Fallbericht über zwei zuvor gesunde Männer, die Symptome des „Mikrowellensyndroms“ entwickelten, nachdem ein 5G-Mobilfunkmast auf dem Dach ihres Büros installiert worden war, sowie ein ähnlicher Bericht, der im letzten Monat veröffentlicht wurde, zeigen, dass nicht-ionisierende 5G-Strahlung bei Menschen ohne vorherige elektromagnetische Empfindlichkeit gesundheitliche Probleme verursachen kann. :/

    2 Mal editiert, zuletzt von bermibs (9. April 2023 um 13:38)

  • Das wird leider niemanden interessieren. Die Mobilfunkindustrie mit ihrer Lobby ist eine der mächtigsten, Menschenleben spielen keine sonderlich große Rolle. Zumal gerade auch der Ausbau der 5G-Technik noch einen militärischen Hintergrund hat.

    Dieselben Leute, die glauben, dass die Erde überbevölkert ist, sagen, sie könnten unser aller Leben retten mit einem Impfstoff!

    Und dieselben Leute, die glauben, sie könnten das Klima retten, indem sie die Sonne verdunkeln, wollen, dass wir Solarenergie nutzen!

  • Naturheilkunde Newsletter von Rene Gräber